
Leistungen

ABI-Messung (Ankle-Brachial-Index)
Sie hilft, frühe Anzeichen einer peripheren arteriellen Verschlusskrankheit (PAVK) zu erkennen, die mit erhöhtem Risiko für Herzinfarkt und Schlaganfall verbunden ist.
Besonders bei Risikogruppen wie Menschen mit Diabetes, Bluthochdruck, hohem Cholesterin oder Rauchen wird die ABI-Messung empfohlen, um mögliche Gefäßerkrankungen frühzeitig zu erkennen.
Sie ist schnell, schmerzfrei und nicht-invasiv.
Sie liefert wertvolle Informationen zur Durchblutung der Beine und kann helfen, eine frühzeitige Behandlung einzuleiten.
Belastungs-EKG (Ergometrie)
Das Belastungs-EKG (Ergometrie) ist eine Untersuchung, bei der die Herzaktivität unter körperlicher Belastung aufgezeichnet wird.
Ziel dieser Untersuchung ist es, die Funktion des Herzens während körperlicher Anstrengung zu überprüfen und mögliche Erkrankungen wie eine koronare Herzkrankheit (KHK) oder andere Herzprobleme zu erkennen.


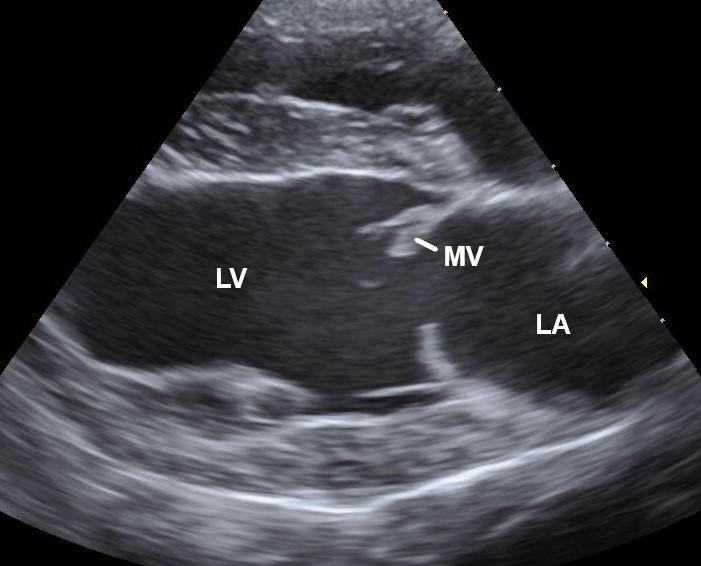
Herzultraschall (Echokardiographie)
Der Herzultraschall, auch Echokardiographie genannt, ist eine schmerzfreie und nicht-invasive Untersuchung, bei der Schallwellen verwendet werden, um Bilder des Herzens zu erzeugen. Diese Untersuchung ermöglicht es, die Struktur und Funktion des Herzens genau zu betrachten und Erkrankungen frühzeitig zu erkennen.
Herzschrittmacher-Ambulanz
Die Herzschrittmacher-Kontrolluntersuchung dient dazu, die Funktion und den Zustand Ihres Herzschrittmachers zu überprüfen.
Ein Herzschrittmacher ist ein kleines Gerät, das dazu dient, den Herzrhythmus zu regulieren, wenn das Herz zu langsam oder unregelmäßig schlägt.
Regelmäßige Kontrollen sind wichtig, um sicherzustellen, dass der Schrittmacher optimal funktioniert und keine technischen Probleme vorliegen.
In der Regel erfolgt eine Kontrolle alle 3 bis 6 Monate, je nach Art des Schrittmachers und Ihrer medizinischen Vorgeschichte.


Langzeit-EKG
Das Langzeit-EKG ist eine Untersuchung, bei der die elektrische Aktivität Ihres Herzens über einen längeren Zeitraum hinweg kontinuierlich aufgezeichnet wird.
Diese Untersuchung wird häufig durchgeführt, um Herzrhythmusstörungen oder andere Probleme mit dem Herzrhythmus zu erkennen, die nicht während einer normalen, kurzfristigen EKG-Aufzeichnung sichtbar sind.
DMP-Programm
Das DMP-Programm (Disease-Management-Programm) für Patienten mit Koronaren Herzkrankheiten (KHK) ist ein strukturiertes Behandlungs- und Betreuungskonzept, das darauf abzielt, die Gesundheit von Patienten mit dieser chronischen Erkrankung zu verbessern.


Herzinsuffizienz
Herzinsuffizienz, auch bekannt als „Herzschwäche“, bezeichnet einen Zustand, bei dem das Herz nicht in der Lage ist, ausreichend Blut und Sauerstoff in den Körper zu pumpen, um den Bedürfnissen des Körpers gerecht zu werden.
Ambulante Herzkatheter-Untersuchung
Die Herzkatheter-Untersuchung ist ein medizinisches Verfahren, bei dem ein dünner, flexibler Schlauch, der sogenannte Katheter, in die Blutgefäße eingeführt wird, um die Durchblutung des Herzens zu untersuchen.


Stressecho-Kardiographie
Die Stressechokardiographie ist eine spezielle Herzuntersuchung, die dazu dient, die Funktion Ihres Herzens unter Belastung zu beurteilen. Sie wird häufig eingesetzt, um Durchblutungsstörungen oder Engstellen in den Herzkranzgefäßen zu erkennen, die in Ruhe möglicherweise noch nicht sichtbar sind.
